2-Phase Treatment

Case ID: 2693

Before and After Images
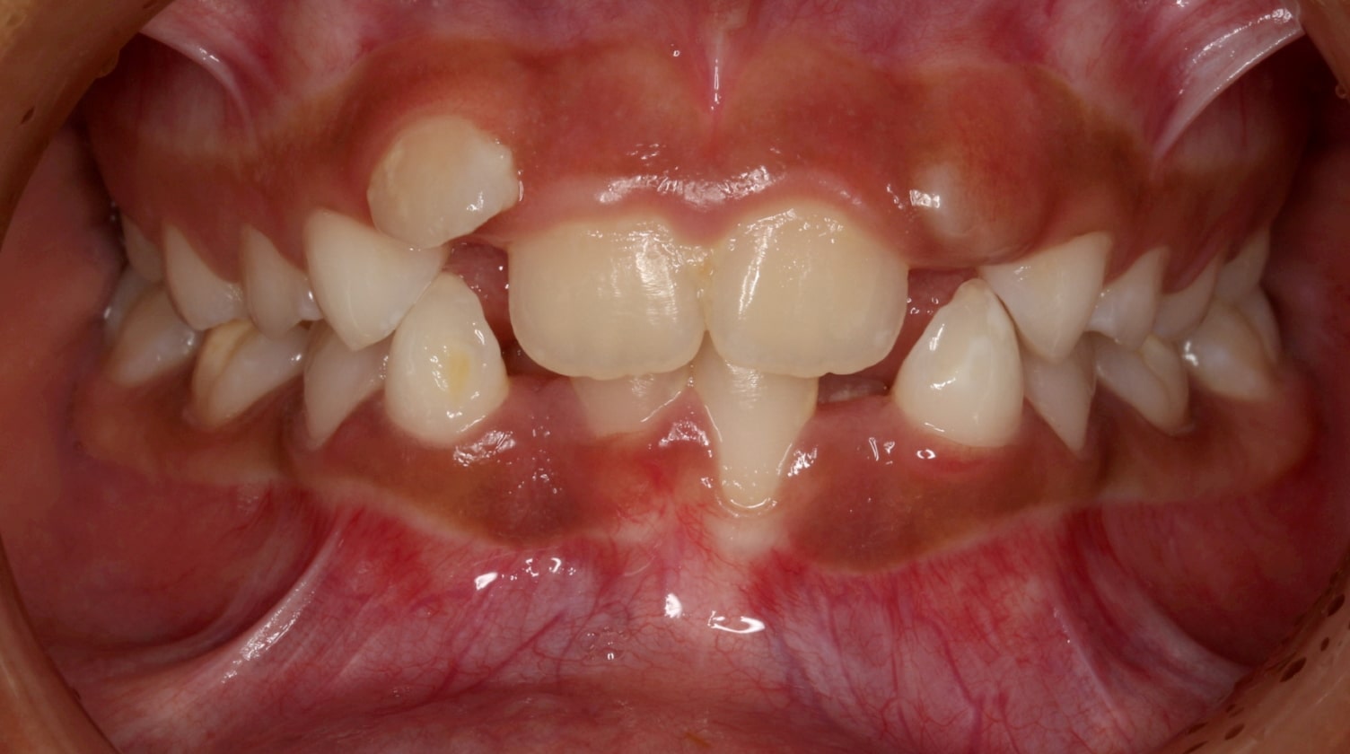
Before Image: 2-Phase Treatment - front
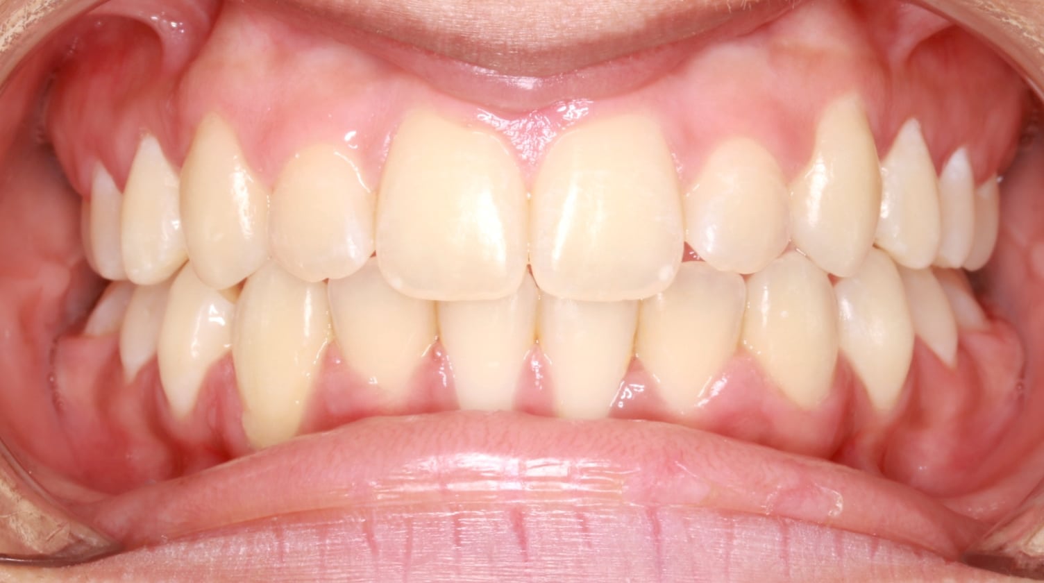
After Image: 2-Phase Treatment - front
2-Phase Treatment
View More Images →

2-Phase Treatment