Deep Bite

Case ID: 2694

Before and After Images
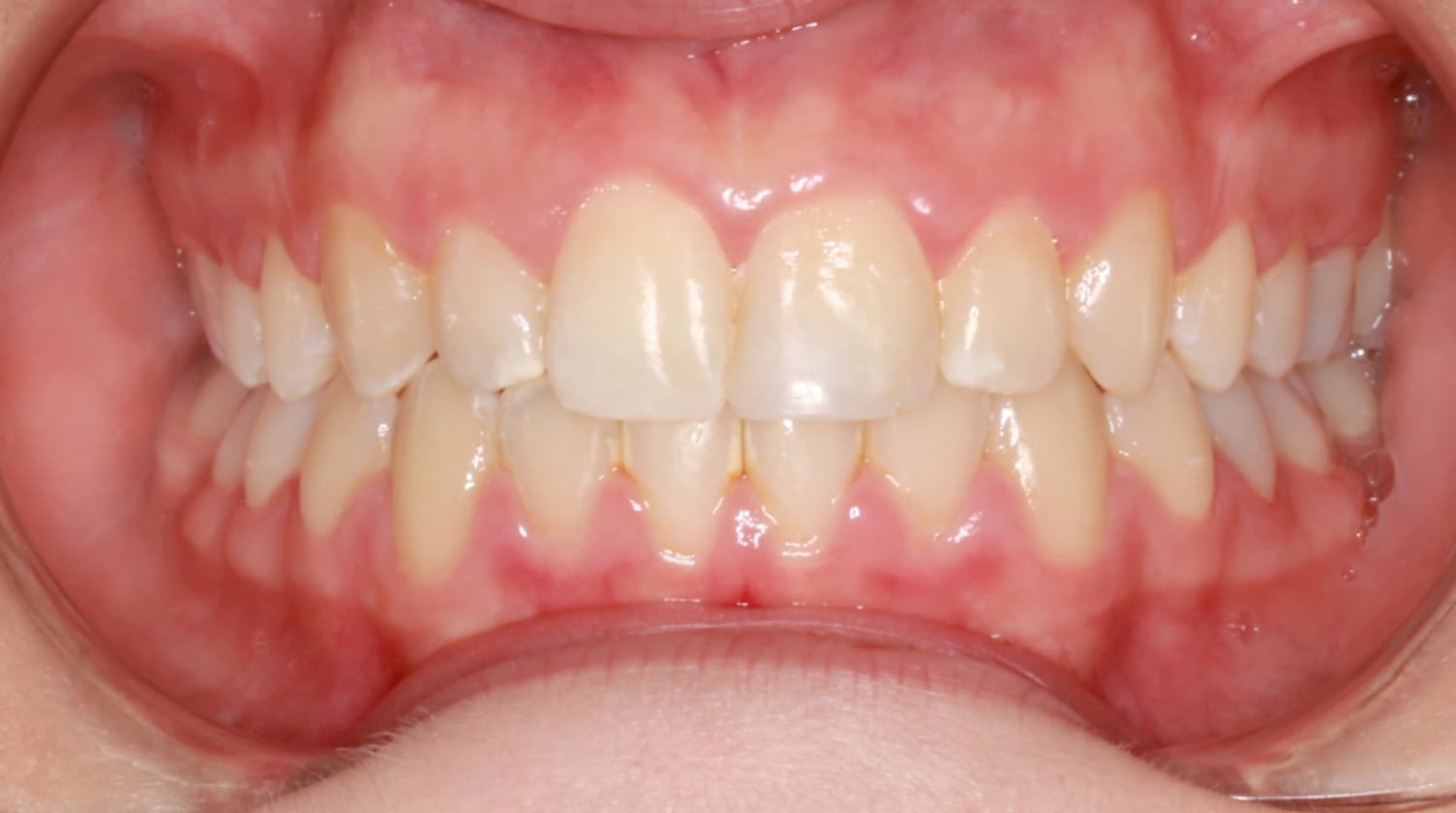
Before Image: Deep Bite - front
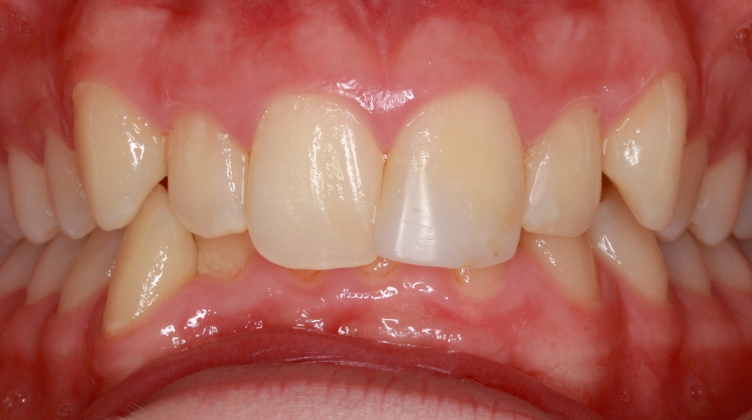
After Image: Deep Bite - front
Deep Bite
View More Images →

Deep Bite