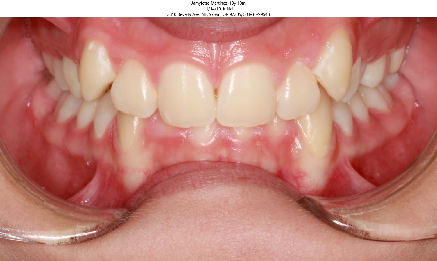
View Angle: front
Before
After
View Angle: front
Before
After
