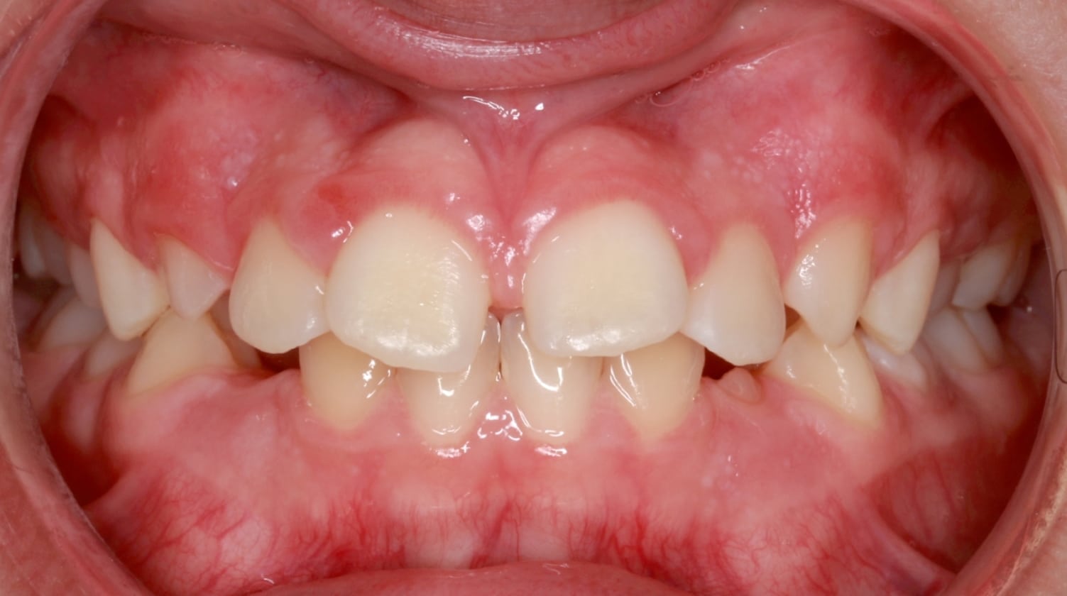
Spacing

Case ID: 2702

Before and After Images
Before Image: Spacing - front
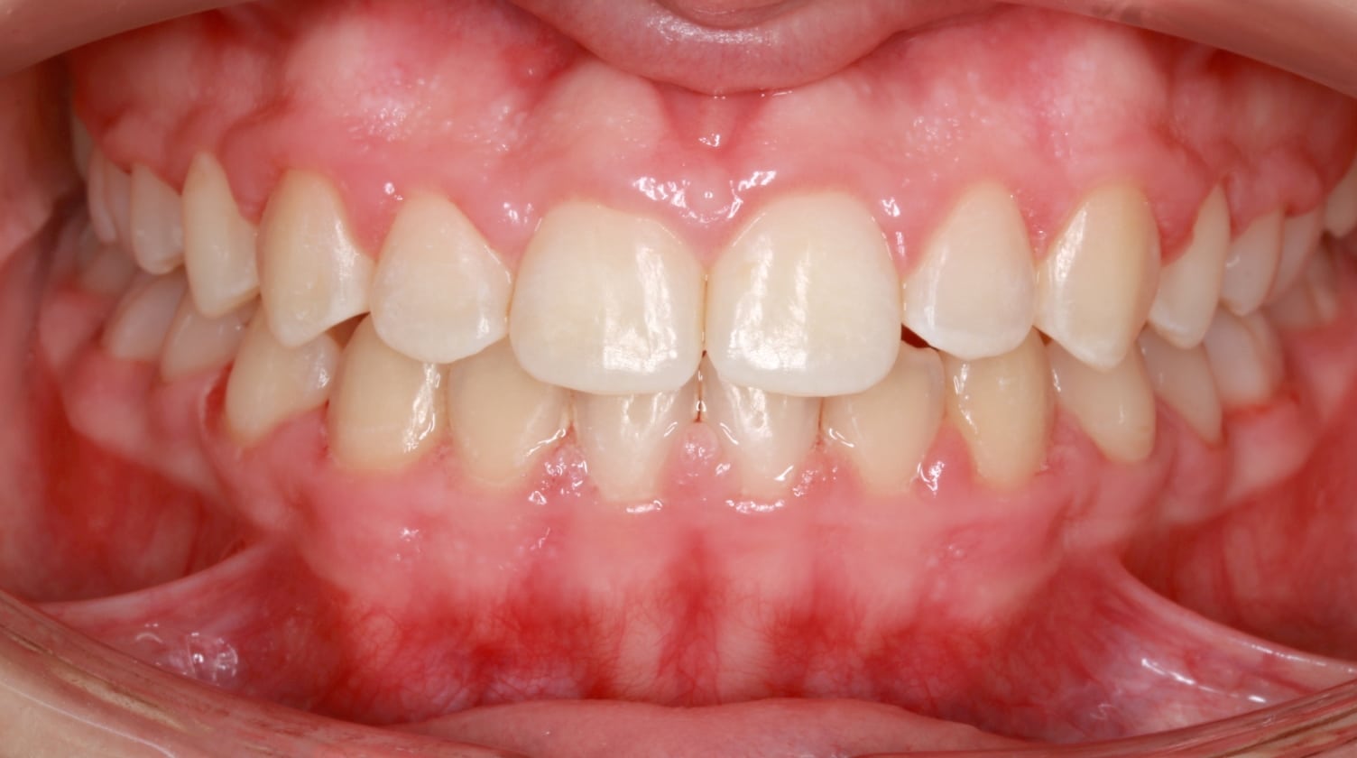
After Image: Spacing - front
Spacing
View More Images →

Spacing