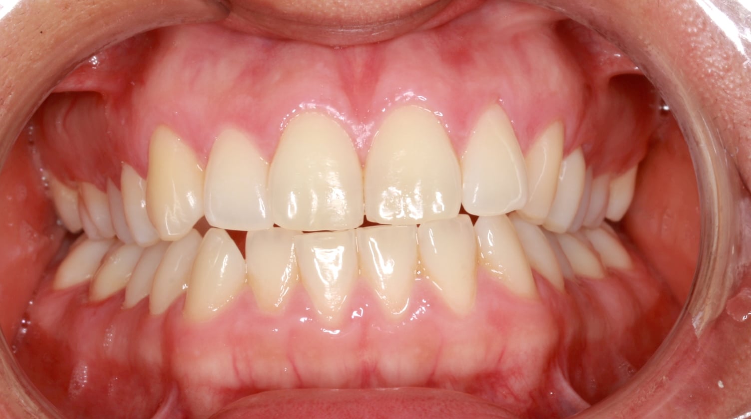
Case ID: 2697
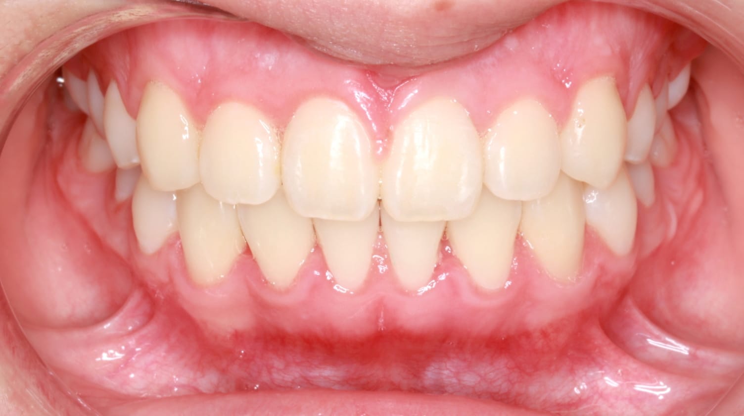
Case ID: 2700
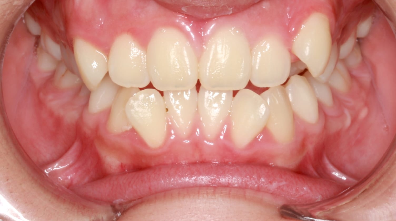
Case ID: 2701
* All indicated fields must be completed. Please include non-medical questions and correspondence only.
Accessibility Toolbar